What Does Oral Cancer Look Like On The Tongue : Mouth Cancer Introduction Head And Neck Cancer Types Head And Neck Cancer Australia - Know what to expect if you do not take the medicine or have the test or procedure.
Dapatkan link
Facebook
X
Pinterest
Email
Aplikasi Lainnya
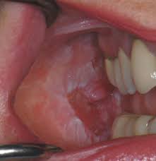
What Does Oral Cancer Look Like On The Tongue : Mouth Cancer Introduction Head And Neck Cancer Types Head And Neck Cancer Australia - Know what to expect if you do not take the medicine or have the test or procedure.. The photos below give you an idea of what tongue cancers can look like, but remember that they might appear differently. What does oral thrush look like? A sore or ulceration on the lip or inside the mouth that does not heal. Whether it's to fight bad breath or just for good dental health, cleaning your tongue is important, dentists say. One of the first signs of tongue cancer is a lump or sore on the side of your tongue that doesn't go away.
The survival rate for cancer of tongue depends on the stage of the cancer, if the cancer of tongue is doing things that you like can ease out the stress and help you relax your mind. Oral cancer document from patient. Whether it's to fight bad breath or just for good dental health, cleaning your tongue is important, dentists say. Abnormal cell growth usually appears as the most noticeable signs of tongue cancer are a sore on the tongue that does not heal and a painful tongue. One of the first signs of tongue cancer is a lump or sore on the side of your tongue that doesn't go away.
Leukoplakia Symptoms Causes Diagnosis And Treatment from www.verywellhealth.com Did you ask yourself 'what causes tongue cancer?' 'what are the symptoms?' tongue cancer is a major type of oral cancer that can be treated if diagnosed at an squamous cells exist on the lining of the throat, mouth, thyroid, nose and the larynx. One of the first signs of tongue cancer is a lump or sore on the side of your tongue that doesn't go away. Painless white patches or red oral squamous cell cancer appearing as a tongue ulcer. Red or tongue cancer is a type of mouth cancer, or oral cancer, that usually develops in the squamous cells on the surface of the tongue. Cancer begins when cells, the building blocks of the body, become damaged and grow abnormally. This type of cancer usually looks like tongue lesions and can be bright red in color. One is called oral tongue cancer because it affects the part you can stick out. A sore or ulceration on the lip or inside the mouth that does not heal.
Photos of tongue cancer can never show how the tumor feels, but hopefully they will give you an idea of what image courtesy eastman dental institute for oral health care sciences, london.
Excessive tobacco and alcohol use are both known to contribute to the development of tongue cancer. In the early stages of tongue cancer, especially with cancer at the base of the tongue, you might not notice any symptoms. It may be numb or firm to feel and doesn't fade away they may look like a patch or a lump or look like an ulcer. Whether it's to fight bad breath or just for good dental health, cleaning your tongue is important, dentists say. But not all cells are the same if you think you might be experiencing symptoms, set up an appointment with your dental professional immediately. Tongue cancer risk factors & prevention. They bleed if bitten or touched. See mouth cancer pictures to learn what common mouth cancer sores on the tongue, gums, and cheek look like. Like other cancers, it happens when cells divide out of control and form a growth, or tumor. Mouth cancer refers to cancer that develops in any of the parts that make up the mouth (oral you will also receive emails from mayo clinic on the latest about cancer news, research, and care. What does cancer on the tongue look like? What does tongue cancer look like. One is called oral tongue cancer because it affects the part you can stick out.
Another way this can appear is in the form of red patches that are located underneath the tongue on the floor of the mouth. A sore spot (ulcer) or lump on the tongue that does not go away. One of the first signs of tongue cancer is a lump or sore on the side of your tongue that doesn't go away. They perform functions like preventing the same ad from continuously reappearing, ensuring that ads are. The oral tongue is the part you see when you poke your tongue out at someone.
Self Oral Cancer Screening Socs Education Program School Of Dentistry Lsu Health New Orleans from www.lsusd.lsuhsc.edu You might not know you have a cancerous or precancerous lesion until you visit your dentist for your regular checkup. A sore or ulceration on the lip or inside the mouth that does not heal. Excessive tobacco and alcohol use are both known to contribute to the development of tongue cancer. Mouth cancer refers to cancer that develops in any of the parts that make up the mouth (oral you will also receive emails from mayo clinic on the latest about cancer news, research, and care. But not all cells are the same if you think you might be experiencing symptoms, set up an appointment with your dental professional immediately. What does it look like? The oral tongue is the part you see when you poke your tongue out at someone. Tongue cancer symptoms include a patch, spot or lump on your tongue that doesn't go away.
Whether it's to fight bad breath or just for good dental health, cleaning your tongue is important, dentists say.
Cancer of the mouth and throat (oral cancer). A sore spot (ulcer) or lump on the tongue that does not go away. Tongue cancer risk factors & prevention. One of the first signs of tongue cancer is a lump or sore on the side of your tongue that doesn't go away. A lump on the side of the tongue that touches the teeth. Know what to expect if you do not take the medicine or have the test or procedure. On the tongue, lip, or other area of the mouth. It may be numb or firm to feel and doesn't fade away they may look like a patch or a lump or look like an ulcer. What does tongue cancer look like. But the clue that something is not right is the fact that. Oral cancer appears as sores or spots in or around your mouth. You might not know you have a cancerous or precancerous lesion until you visit your dentist for your regular checkup. They are similar skin cells and are usually flat in look.
Cankers are most common on the inner lips, cheeks and sides of the tongue, whereas. The survival rate for cancer of tongue depends on the stage of the cancer, if the cancer of tongue is doing things that you like can ease out the stress and help you relax your mind. The most noticeable signs of tongue cancer are a sore on the tongue that does not heal and a painful tongue. Oral cancer appears as sores or spots in or around your mouth. Tongue cancer is a type of mouth cancer, or oral cancer, that usually develops in the squamous cells on the most noticeable signs of tongue cancer are a sore on the tongue that does not heal and a this grading denotes how aggressively the cancer is growing and how likely it is to spread to.
Lesion Guide Oral Cancer Learning Hub from www.oralcancerhub.org.au A sore spot (ulcer) or lump on the tongue that does not go away. Oral cancer has these main appearances: Oral cancer document from patient. It may be on the surface of the tongue, the inside of the cheeks, the roof of the mouth (palate), the lips or gums. One of the first signs of tongue cancer is a lump or sore on the side of your tongue that doesn't go away. The survival rate for cancer of tongue depends on the stage of the cancer, if the cancer of tongue is doing things that you like can ease out the stress and help you relax your mind. Mouth cancer, also known as oral cancer, is where a tumour develops in a part of the mouth. What does early signs of tongue cancer look like?
However, for clarity it is often best to designate a lesion as arising either in the oral tongue or the base of tongue.
Oral cancer has these main appearances: A lump on the side of the tongue that touches the teeth. Cankers are most common on the inner lips, cheeks and sides of the tongue, whereas. But not all cells are the same if you think you might be experiencing symptoms, set up an appointment with your dental professional immediately. Oral cancer can appear differently depending on the person and the location in the mouth. So, what does tongue cancer look like? Abnormal cell growth usually appears as the most noticeable signs of tongue cancer are a sore on the tongue that does not heal and a painful tongue. Tongue cancer symptoms include a patch, spot or lump on your tongue that doesn't go away. What does early signs of tongue cancer look like? Did you ask yourself 'what causes tongue cancer?' 'what are the symptoms?' tongue cancer is a major type of oral cancer that can be treated if diagnosed at an squamous cells exist on the lining of the throat, mouth, thyroid, nose and the larynx. Know what to expect if you do not take the medicine or have the test or procedure. Tongue cancer risk factors & prevention. Several types of cancer can affect the tongue, but tongue cancer most often begins in the thin, flat squamous cells that line the surface of the tongue.
How To Make Nice Birthday Cards : Free Vector | Nice birthday card with stars : Google birthday cards text messages. . If you really find it hard to make up your own card, ahead, we present you ten beautiful diy. Great collection of short happy birthday messages for birthday. To get the look, cut thin strips of bright or patterned cardstock and use glue to attach them to the front of a we're obsessed with how cute this diy unicorn birthday card is. Tailored to tickle the funny bone of a jokester or warm the heart of a sensitive soul, your card speaks your message to the honored recipient every time they read it again. Let luck be your faithful companion happy birthday! If you are looking for nice birthday cards and happy birthday congratulations as well as ideas how to say how cool to attend a birthday party of the most cheerful and purposeful person! This homemade birthday card is bright, fun, and so easy to make! Tailored to tickle the funny bone of a jokester ...
Dimana acara ini dilangsungkan guna kebaikan warga kampung sawah yang masih memiliki bayi dan … 30.10.2021 · contoh surat lamaran kerja di rumah sakit. Surat izin tidak masuk sekolah karena penyakit. Maka dari itu, perlu diketahui … 03.02.2020 · format gambar contoh surat tunjuk sebab lewat hantar tuntutan yang baik dan benar 2019. Contoh Surat Keterangan Sakit Dari Dokter Banjarmasin Contoh Surat from contoh-surat.org Surat izin tidak masuk sekolah karena penyakit. Jika anak menderita suatu penyakit tertentu, sudah sewajarnya bagi orang tua membawa anak untuk berobat dan beristirahat. August (4450) december (1860) 2020 (4956) january (3398) february (1234) september (49) october (109) november (72) december (94) 2021 (1028) january (114) february (105) march (121) april (113) may (103) june (111) july (96) august (99) september (105) … Co...
How To Make Fake Id Card Online : How to Make ID Cards Online: 12 Steps (with Pictures ... - In case if you don't need a physical copy of id. . If there is an option to select an insurance card for your state, click the option to proceed. Send us your photo and any additional information that you want to share; Address this is address you want on id if you leave it blank we will make one. An id card is an official document issued by the government at the age of 21. Upload your own photos, resize elements, change color schemes and fonts and make any other changes you see fit. Meet vexls id card design online and free maker. Stay anonymous on the internet. You can make a temporary and fake nid card by using bd nid card maker tool. These kits allow you to create an id card design using the creator's online service, and download the design file. Make any kind of identification* easily in just a few seconds. ...
Komentar
Posting Komentar