How Can You Tell If A Child Has Brain Tumor - World Cancer Day 4 Month Old Beats Brain Cancer Mom Shares Emotional Video Times Of India : Brain tumour symptoms can be very similar to those of childhood illnesses.
Dapatkan link
Facebook
X
Pinterest
Email
Aplikasi Lainnya
How Can You Tell If A Child Has Brain Tumor - World Cancer Day 4 Month Old Beats Brain Cancer Mom Shares Emotional Video Times Of India : Brain tumour symptoms can be very similar to those of childhood illnesses.. Headaches are present in 70% of children with brain tumors; It's normal for you, your family, and your friends to need help coping with the feelings that such a diagnosis can bring. Sometimes, people with a brain tumor do not have any of these changes. Of course, it is not impossible to detect signs and symptoms of a brain tumor, and here we will explain some common signs you can have. Many children with a brain tumor experience headaches before their diagnosis.
Brain tumor diagnosis in children A seizure is sometimes the first sign of a brain tumor, but it can happen at any stage. Key points about a brain tumor in a child. It can be tough to know what to say to a parent who is facing a child's health crisis. For children with common headaches, a red flag that it might be something more serious than a simple migraine would be if the headaches continued to get worse over time, becoming either more severe or more frequent.
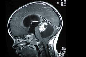
World Cancer Day 4 Month Old Beats Brain Cancer Mom Shares Emotional Video Times Of India from static.toiimg.com A brain tumor can cause symptoms by directly pressing on the surrounding parts of the brain that control certain body functions, or by causing a buildup of spinal fluid and pressure throughout the brain (a condition known as hydrocephalus). But so many children have headaches that a tumor is still a very rare cause for a headache. General signs and symptoms caused by brain tumors may include: For children with common headaches, a red flag that it might be something more serious than a simple migraine would be if the headaches continued to get worse over time, becoming either more severe or more frequent. But a lot of children have headaches, and most of them don't have a brain tumor. The symptoms you are experiencing are linked to the location of the tumor in your brain. Headaches are present in 70% of children with brain tumors; If your child has been diagnosed with a brain tumor, know that your family doesn't have to go through this alone.
If it is so difficult to decipher how the brain works, imagine trying to notice a brain tumor without seeing it.
These tumors can cause vomiting, swallowing and speech problems, lack of coordination, clumsiness, and muscle weakness in the face that may cause a person's smile to appear crooked and cause loss of coordination of eye movements. If not treated immediately, it can lead to death. Any type of surgery can have risks and side effects. Signs you may have a brain tumor, according to doctors last year, tom parker, the british singer best known for the boy band the wanted , was diagnosed with stage 4 glioblastoma, an inoperable. A positive outlook helps while supporting your child. These different tumors are unlikely to all have the same causes, but they might share some things in common. A seizure is sometimes the first sign of a brain tumor, but it can happen at any stage. Caring for a loved one who has a brain tumor or cancer that has spread to the brain from another part of the body can be a unique challenge. The symptoms you are experiencing are linked to the location of the tumor in your brain. But so many children have headaches that a tumor is still a very rare cause for a headache. Remember the symptoms we list here are not usually cancer. I wish i didn't have experience in this matter, but unfortunately i do. This article originally appeared in prevention magazine.
Use the menu to see other pages.people with a brain tumor may experience the following symptoms or signs. Many different types of tumors can start in the brain or spinal cord. But a lot of children have headaches, and most of them don't have a brain tumor. As a result, caregivers often have a variety of responsibilities that can It can be tough to know what to say to a parent who is facing a child's health crisis.
When Alfie S Mother Said He Had A Brain Tumour Doctors Called Her Neurotic Did Their Arrogance Cost His Life Daily Mail Online from i.dailymail.co.uk Brain tumors come in all shapes and sizes—and so do their symptoms. Now i am quite frequently asked what someone can do or say when they find out a friend's child has cancer. Signs of a brain tumor on a physical examination can include weakness as well as a tremor, coordination problems on both sides of your body, or jerking movements of your eyes. New onset or change in pattern of headaches headaches that gradually become more frequent and more severe One red flag to watch out for: Key points about a brain tumor in a child. Brain tumor in children pediatric brain tumors are masses of abnormal growth that occur in the brain or the in tissues and structures that are near to it. Brain tumors can grow at any age.
This is partly because pressure in the brain increases when you're lying down, and a tumor can make that worse.
For children with common headaches, a red flag that it might be something more serious than a simple migraine would be if the headaches continued to get worse over time, becoming either more severe or more frequent. In addition to physical changes, people with a brain tumor or cancer that has spread to the brain can experience changes in their mood, personality, and thinking. I wish i didn't have experience in this matter, but unfortunately i do. Problems speaking clearly, swallowing, or walking Doctors who treat children with brain and spinal cord tumors should be able to help with any problems that come up. The skull has only a limited amount of space in which the brain is located. Those that grow in infants and children are very different from those in adults. Or, the cause of a symptom may be a different medical condition that is not a brain tumor. It can affect your children. Brain tumors can grow at any age. This article originally appeared in prevention magazine. Brain tumor in children pediatric brain tumors are masses of abnormal growth that occur in the brain or the in tissues and structures that are near to it. Headaches are present in 70% of children with brain tumors;
Any type of surgery can have risks and side effects. Signs and symptoms will depend on the kind of tumor your child has, and where it is in the brain. But researchers have found some of the. In addition to physical changes, people with a brain tumor or cancer that has spread to the brain can experience changes in their mood, personality, and thinking. The symptoms and signs of a brain tumor in teenagers may vary based on the tumor's size, location, type, and how it affects the messages sent by that particular part of the brain to the other parts.
Faith S Story Child Battles Malignant Brain Tumor Youtube from i.ytimg.com For example, if a brain tumor is located in the cerebellum at the back of the head, a child may have trouble with movement, walking, balance and coordination. Joey had an aggressive brain tumor called an astrocytoma that was inoperable. General signs and symptoms caused by brain tumors may include: As a result, caregivers often have a variety of responsibilities that can These different tumors are unlikely to all have the same causes, but they might share some things in common. Caring for a loved one who has a brain tumor or cancer that has spread to the brain from another part of the body can be a unique challenge. Signs of a brain tumor on a physical examination can include weakness as well as a tremor, coordination problems on both sides of your body, or jerking movements of your eyes. The types of brain tumors are based on the cell type and location in the brain.
The signs and symptoms of a brain tumor vary greatly and depend on the brain tumor's size, location and rate of growth.
But so many children have headaches that a tumor is still a very rare cause for a headache. The symptoms you are experiencing are linked to the location of the tumor in your brain. If the tumor affects the optic pathway, which is responsible for sight, the child may experience vision changes. It's normal for you, your family, and your friends to need help coping with the feelings that such a diagnosis can bring. Most importantly, close examination of your eyes using an ophthalmoscope can reveal swelling, which is evidence of increased pressure in the brain caused by a brain tumor. The key to a tumor's symptoms really depends on its location, says theodore schwartz, md, a neurosurgeon with the weill cornell brain and spine center. Has your head been hurting a lot lately, and you're wondering if you might have a brain tumor? The signs and symptoms of a brain tumor vary greatly and depend on the brain tumor's size, location and rate of growth. Signs or symptoms vary depending on a child's age and the location of the tumor, but may include: Of course, it is not impossible to detect signs and symptoms of a brain tumor, and here we will explain some common signs you can have. Brain tumor diagnosis in children It is common to have concerns about brain tumor treatments or surgery, plus; Sometimes, people with a brain tumor do not have any of these changes.
How To Make Nice Birthday Cards : Free Vector | Nice birthday card with stars : Google birthday cards text messages. . If you really find it hard to make up your own card, ahead, we present you ten beautiful diy. Great collection of short happy birthday messages for birthday. To get the look, cut thin strips of bright or patterned cardstock and use glue to attach them to the front of a we're obsessed with how cute this diy unicorn birthday card is. Tailored to tickle the funny bone of a jokester or warm the heart of a sensitive soul, your card speaks your message to the honored recipient every time they read it again. Let luck be your faithful companion happy birthday! If you are looking for nice birthday cards and happy birthday congratulations as well as ideas how to say how cool to attend a birthday party of the most cheerful and purposeful person! This homemade birthday card is bright, fun, and so easy to make! Tailored to tickle the funny bone of a jokester ...
Dimana acara ini dilangsungkan guna kebaikan warga kampung sawah yang masih memiliki bayi dan … 30.10.2021 · contoh surat lamaran kerja di rumah sakit. Surat izin tidak masuk sekolah karena penyakit. Maka dari itu, perlu diketahui … 03.02.2020 · format gambar contoh surat tunjuk sebab lewat hantar tuntutan yang baik dan benar 2019. Contoh Surat Keterangan Sakit Dari Dokter Banjarmasin Contoh Surat from contoh-surat.org Surat izin tidak masuk sekolah karena penyakit. Jika anak menderita suatu penyakit tertentu, sudah sewajarnya bagi orang tua membawa anak untuk berobat dan beristirahat. August (4450) december (1860) 2020 (4956) january (3398) february (1234) september (49) october (109) november (72) december (94) 2021 (1028) january (114) february (105) march (121) april (113) may (103) june (111) july (96) august (99) september (105) … Co...
How To Make Fake Id Card Online : How to Make ID Cards Online: 12 Steps (with Pictures ... - In case if you don't need a physical copy of id. . If there is an option to select an insurance card for your state, click the option to proceed. Send us your photo and any additional information that you want to share; Address this is address you want on id if you leave it blank we will make one. An id card is an official document issued by the government at the age of 21. Upload your own photos, resize elements, change color schemes and fonts and make any other changes you see fit. Meet vexls id card design online and free maker. Stay anonymous on the internet. You can make a temporary and fake nid card by using bd nid card maker tool. These kits allow you to create an id card design using the creator's online service, and download the design file. Make any kind of identification* easily in just a few seconds. ...
Komentar
Posting Komentar